We have set the photos up as a slide show, if you press on the photo, you can proceed slide by slide and read the captions to get an idea what we did for the day.
The final dentures are back from Eliason Dental Lab and boy, do they look great! The dentures go in a little tight. Mike liked the idea of leaving them tight, and I agreed, knowing that I would see him in 24 hours for the routine denture check when we could start adjusting out the sore spots. Unfortunately, because of transportation issues we were not aware of, Mike was not able to come in for another week. I think it was a long sore week for him. If I had known about his transportation issues, I would have done things differently.
We send Mike home with a Fixodent® Denture Wearer Orientation Kit. We discussed denture adhesives. At the time, I thought he would not need any denture adhesive on his upper denture, and maybe just a tad on his lowers to hold them in place. We send Mike home to take them out for a test drive.
D Day is here — Delivery Day! Mike gets to take his dentures home.
Some minor adjustments are made before delivering the dentures. We are always very careful to make sure they are comfortable. We will have several more visits to adjust out the sore spots.
The final set is pretty close to what we had in the Wax Try-In visit last time.
Photo from the side showing how the upper and lower teeth engage. Everything looks ideal.
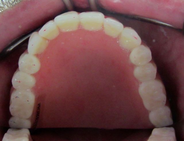
On the upper arch, we had Mike chew on articulating paper, to check on where his denture is chewing.
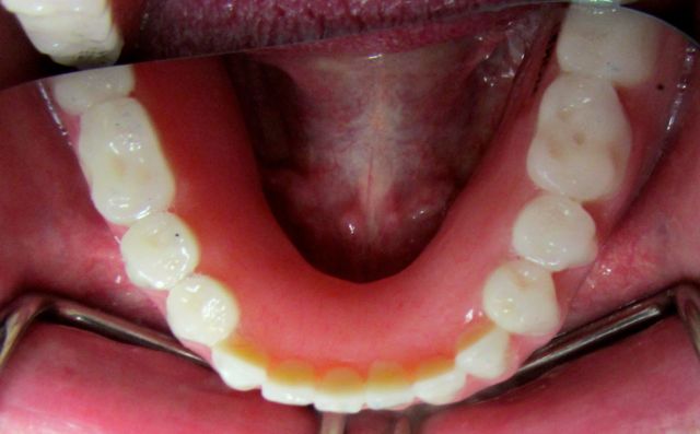
Looking at the lower arch, we had Mike chew on articulating paper, to check on where his denture is chewing.
If you look real closely, you can see that tooth No. 9 has dropped a bit. I know during denture fabrication that teeth can shift in the final stages. Some of our patients like having teeth that are set irregularly because they look more like “normal” teeth, and some patients would prefer that they be set to optimal perfection. If Mike prefers, I can take a sanding disk and polish No. 9 to make the two central teeth perfectly symmetrical.
Taking some final photos.
AND just a few more photos.
Just a few more photos.
Mike has a beautiful smile …
. . and a wonderful laugh!
We always send our patients home with a Fixodent® Denture Wearer Orientation Kit. The kit comes with a denture bath, denture cleanser tablets, 0.35-oz tube of Fixodent Adhesive, Oral-B denture brush and an information sheet on how and why to use an adhesive.
The kit comes with a Denture bath,
Denture cleanser tablets,
0.35-oz tube of Fixodent Adhesive,
Oral-B denture brush,
Information sheet on “how and why to use an adhesive”.
The upper and lower denture fit at their optimal best. Sometimes it may be necessary to get a little help from some dental adhesive to hold the dentures in place. Before Mike left, I placed a light coating of Super Wenets Denture Adhesive Powder on his lowers only.
We are done! Now Mike needs to take them home and eat with them.
Norman Medina DDS, graduated from Loma Linda University Dental School in 1994. He has been practicing dentistry in Midcoast Maine since 1994. He and his wife Lanita have four children.