We have set the photos up as a slide show, if you press on the photo, you can proceed slide by slide and read the captions to get an idea what we did for the day.
On the last visit, we took the wax rims and sent them off to Eliason Dental Lab in Portland, Maine. They took the wax rims and replaced the wax with the teeth we custom selected for Mike’s new smile. These dentures may look real, but only the teeth are real, everything else is wax. I have heard stories of patients taking their wax dentures home to show their families and drinking hot coffee! As you can imagine, the wax melts — a dental horror story!
We check for minor adjustments before the final process.
The reason for today’s visit is to check everything before the final processing. We can still make changes, readjust the bite if necessary, do any final tweaks needed before we have the final dentures fabricated. Everything looks right on, and we are happy from the start.
We have a pleasant surprise at the end of the visit, as Tim Beals of Eliason Dental Labs happens to stop by to check on how we are doing. Tim Beals and Eliason Dental Labs volunteered to do all Mike’s dental lab work as a courtesy. So many times the lab gets no feedback, so I was glad that Tim got to see what a great job they are doing. We at Seasons of Smiles Dental also want to shout out to Julie Skelton at Eliason Dental labs for a job well done!
The dentures are returned to us in wax. Today’s visit is to verify all our choices. Are we happy where the teeth are placed? Are we happy with the color? These are the permanent teeth, but everything else is still in wax. We can still change and modify, if necessary. Again, we want to give Eliason Dental Lab a shout out for helping us with this project: Eliason Dental Lab, 190 Riverside St., Unit 6B. Portland, ME 04103 (207) 774-7881 https://www.eliasonlab.com
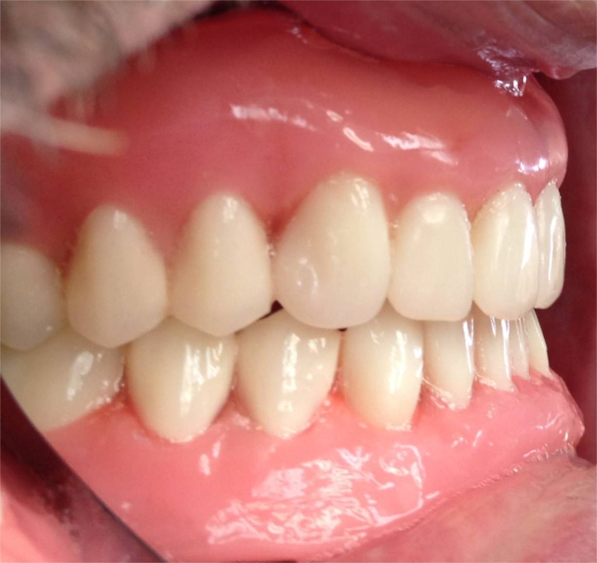
This is the way the denture looks like in wax; tooth color is shade A1. Mike’s visit is scheduled today.
This is the way the denture looks in wax. It has an ideal overjet/overbite, and the tooth color is shade A1.
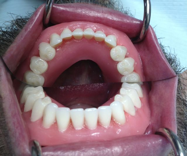
We visually check to see how the denture looks.
We visually check to see how the denture looks, from a different angle.
We visually check to see how the denture looks. This is an ideal overjet/overbite — looks good!
Here is a photo of us taking photos of the upper arch.
Dara takes photos of the lower mandibular arch.
We have to thank Mike for his patience as we take all these photos!
Here are the teeth, set in wax. I am a big fan of Dentsply Portrait teeth. I like the fact that they have a lot of “personality.” Sometimes pictures don’t do justice to how good they really look.
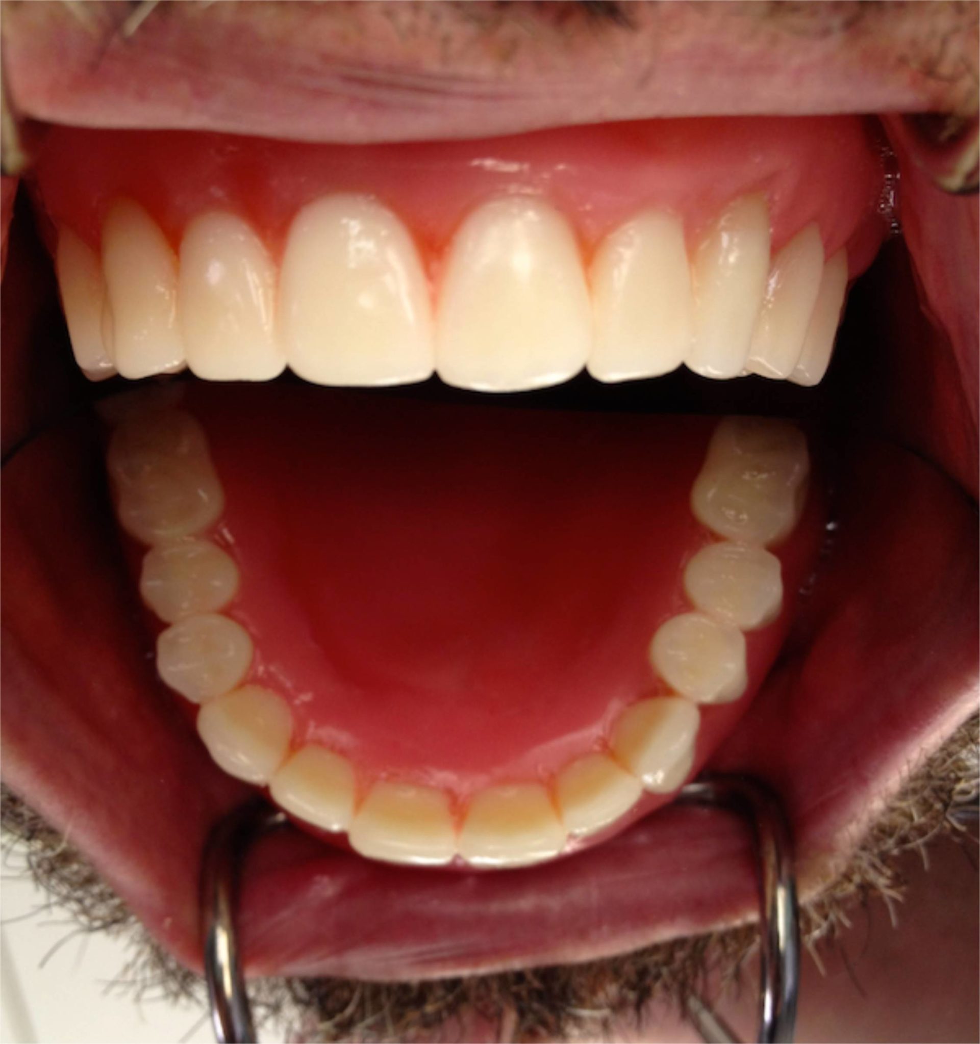
The upper wax denture in place. Normally, we don’t take all these photos, but we did it this time for educational purposes.
The lower wax denture in place. Note, photo is of the lower denture and the reflection in the mirror.
We aren’t going to make any changes. Everything went as planned, and everything looks good!
Too bad the camera focused on the “No Admittance” sign and not on Mike’s gorgeous smile!
What a pleasant surprise: What a pleasant surprise: Tim Beals of Eliason Dental pays us a visit, to see how we we’re doing. It just so happened to be the same hour that we had Mike scheduled, unplanned but I was glad Eliason Dental got some visual feedback on our project. Eliason Dental Lab, 190 Riverside St., Unit 6B Portland, ME 04103 (207) 774-7881 https://www.eliasonlab.com
We quickly package the wax dentures and ask Tim to take them back to the lab. That worked out nice! I’m sure the box will be sitting on Julie’s desk tomorrow morning for the final process where they convert the wax denture into its permanent form.
Norman Medina DDS
Norman Medina DDS, graduated from Loma Linda University Dental School in 1994. He has been practicing dentistry in Midcoast Maine since 1994. He and his wife Lanita have four children.