We have set the photos up as a slide show, if you press on the photo, you can proceed slide by slide and read the captions to get an idea what we did for the day.
Day 2 – This is a busy visit! We administer nitrous oxide to Mike so we can extract two teeth and take master impressions that will lead to his new smile.
It is a few weeks before Christmas, and we are wondering if we can get this project done before the holiday. This second visit is a long one; we will break it up into three parts. In the first part, Dara lends a hand as we take photo records.
Dara takes photo records
This is day 2, we have a lot we want to accomplish today. Before we start aything, we will have Dara take photos for us.
We feel very fortunate to have Dara helping us out. Dara is our hygienist and normally would not be helping us out with this project. Her specialty is cleaning teeth. But Dara worked many years for Zanca Orthodoncs, where she learned how to take intraoral photos.
There are so many great cameras out there, and I’m sure many will look at the fact that we are taking photos with a iPhone 4s and think of it as very low tech. But I love the results, and it’s so easy to incorporate the photos for web site work.
This photo shows the maxillary arch. Everything looks good. We shouldn’t have any problems getting an upper denture to work here.
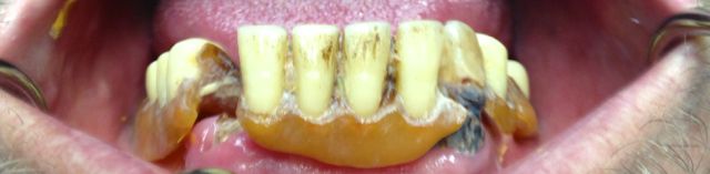
Lower Mandibular arch.
Lower Mandibular arch. There are only two teeth left. When we met Michael for the first visit, he still had two teeth left. From the first visit to the second visit, tooth #27 broke off at the gum line.
This photo shows Mike’s lower partial denture in place. When I fist met Mike, I was hoping we could keep those two lower teeth. They had no mobility, would have been good anchor teeth and his lower partial denture was relatively stable. Unfortunately after looking at the X-rays, the two lower canines were unrestorable.
We are making an important assumption here. Mike mentioned that he had dentures, and that he was pleased how they worked. Our overall goal is to make his new set as close as possible to his old set, as far as function.
Nitrous Oxide is used while removing teeth.
The following photos show the extractions of teeth No. 22 and 27. We offer the use of nitrous oxide Mike. I like nitrous oxide for a lot of reasons, one of them being that it is safe to administer and there are no long-term effects. Five minutes after we turn off the machine, all the effects of nitrous oxide have left the body; if Mike needed to drive home, it would not be a problem. Nitrous oxide is a sedative that has a calming, soothing effect; however, it cannot always be counted on to block pain.
In some ways, I think of its effect as a distraction for the patient, allowing me to go to work. It doesn’t work the same on all our patients, but for the ones that it does work for, it just, well, takes them to a happy place! Mike elects to use the nitrous oxide, and I’m glad. I want to make him as comfortable as humanly possible, considering what he has to go through.
Before we remove the two lower teeth, we have Anastasia check Michael’s blood Pressure.
Fortunately we have Nitrous Oxide for Mike. We will try to make this as pleasant as possible.
Nitrous Oxide is classified as a sedative. It doesn’t block pain, it basically helps you to relax. Helps you get to that happy place. Another reason that we are big fans of Nitrous Oxide is because it is so safe and is short lasting. 5 minutes after you turn it off, all Nitrous Oxide has left your body, allowing you to carry on with your normal activities.
Mike looks happy here. I think the Nitrous Oxide is working. The nitrous Oxide is a distraction from the pain. There may be better ways to describe what Nitrous oxide does, but that’s how I think of it.
I like this photo and what it represents. Mike will never have another tooth ache. I think his overall health will be MUCH better now that his body doesn’t have to struggle with infected teeth.
Dr. Medina and Anastasia at work removing extracting teeth #’s 22 and 27.
Dr. Medina and Anastasia at work removing extracting teeth #’s 22 and 27.
Making master impressions for upper and lower dentures.
The teeth have been removed, and we elect to go straight to taking master impressions.
We do dentures very differently than how they taught us in dental school. A few years back we went to some continuing education given here by the Maine Dental Association in Augusta. Dr. Joseph J. Massad, a denture specialist and well known lecturer a new and improved technique for taking impressions which is one of the first steps in making a denture. The following photos basically show our interpretation of his technique. For more information check out https://www.caulk.com/pages/products/Massad_main.html
The overall goal is to take a pre fabricated tray and make a custom tray. The upside to this is that you can condense two visits down to one visit.
We are using Massad Edentulous Impression Tray by Caulk Densply.
First step, getting the tissue stops. Massad Edentulous Impression Tray.
Next step, we do a layer for the border mold.
Place it in the mouth, and wait for the impression material to cure.
We are almost there, making our custom tray.
We don’t want the pink material to distort against the soft tissue, so we trim it away.
Our custom tray, ready to go.
Now we will fill up our custom tray with wash. We are using Aquasil Ultra Impression material by Caulk Densply.
Now that the tray is in place, we ‘border mold’ to capture as much information as we can.
Waiting for the Aquasil Ultra Impression Material by Caulk Densply to set.
Now we do the same thing for the lower mandibular arch.
‘Border mold’ layer for the lower arch.
Master impressions ready for the lab.
Almost done making the custom tray for the lower, we still need to trim off the hard, pink, plastic tray material.
Ready to place it in the mouth.
Finally, we are done for this day. We packed up our master impressions and send them off to the lab to have the wax rims fabricated in time for the next visit.
Norman Medina DDS
Norman Medina DDS, graduated from Loma Linda University Dental School in 1994. He has been practicing dentistry in Midcoast Maine since 1994. He and his wife Lanita have four children.