Digital dentistry and Ivan’s new smile.
Digital dentistry and Ivan’s new smile.
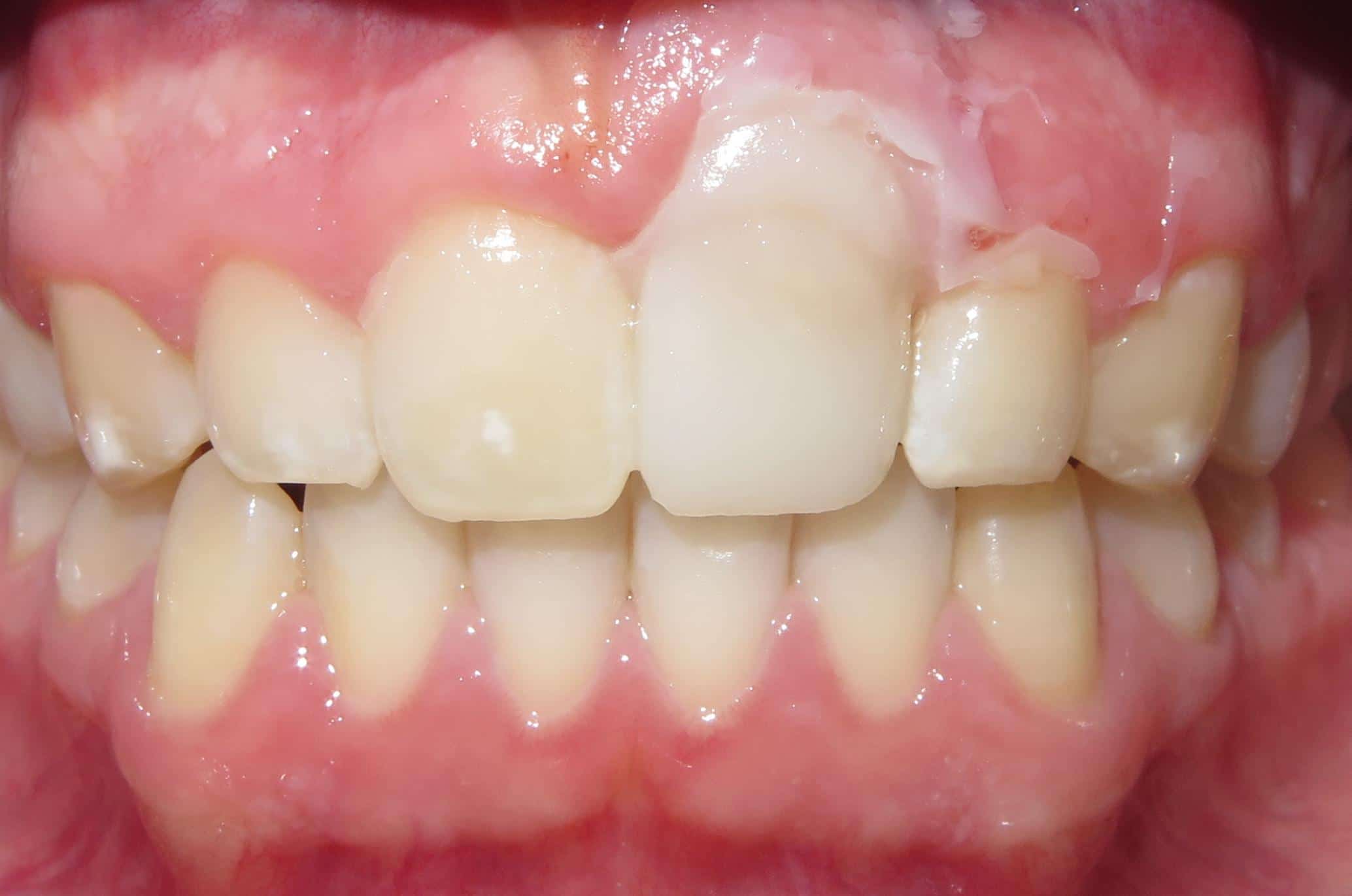
Wow, does Ivan have a great smile? We have taken lots and lots of photos of Ivan’s smile. We have before photos, we have after photos. We have photos from all different angles. All the photos we have are very clinical in nature.
No matter what photo we look at, I think we can all agree, Ivan’s smile is wonderful.
Unfortunately, six years ago Ivan’s front tooth took a hit with a baseball. Ivan’s smile needed a bit of help. The rehabilitation journey has taken a while, endodontics, orthodontics and now it’s our turn to do the crown on a front tooth.
Digital Dentistry
I am old enough to remember life before computers. Are you old enough to remember those years? I also remember dentistry before computers as well. Computers are making a huge difference in how we do dentistry.
We are a fully digital dental office.
There are many procedures that still require us to do procedures in an analog way, but if digital does it better, we are taking full advantage.
I think Ivan’s case illustrates nicely how digital dentistry can help us with cosmetic dentistry.
When Ivan came to our office after the orthodontics, it was our turn to finalize his smile with one crown. Smiles with one crown can be a bit of a challenge, but it’s so much easier now in 2020 utilizing digital dentistry.
Here is a short outline of our workflow for digital smile design on one tooth to ensure the best outcome.
- We made digital three-dimensional models of Ivan’s before smile using our iTero Scanner.
- We sent the models via the internet to Paramount Dental Studio in Huntington Beach, CA
- I explained to the lab that I wanted them to use the computer to “cut and paste” number 8, mirror the copy, and make tooth #9. As much as humanly possible I want 8 and 9 to be perfectly symmetrical. In the old times, these crowns were man-made, now we can make crowns that are digitally copied from mother nature. They are very natural.
- Paramount Dental Studio designed the tooth that I was asking for and they sent us the Exocad file for our approval. We then asked for some minor changes. (See Video)
If you would like to see the Exocad file first hand, check out this link.
- We then asked for the STL file of the tooth. We then printed Ivan’s proposed smile on our FormLabs printer. Before we commit to the final crown, we want to see what it will look like on the patient. The lab sent the STL file which we printed on our FormLabs printer.
- We then placed a mockup of Ivan’s new proposed smile.
- We were pleased with the results. We then prepared the tooth and sent the master scan of the tooth to the lab for final fabrication.
Does your smile need a touchup? Are you curious to see what Digital Smile Design can do for your smile before you commit? Give us a call (207) 236-4740.








6 Comments
Jasleel Kaur
Hi,
It is the best blog to know about the complete detail of Digital Dentistry. And as a dentist, i also suggest to put the Dental Health which is now easy process to get beautiful smile. If you are looking for General Dentistry in Turlock visit https://foreversmilesturlock.com
Regards
Forever Smiles Turlock
Norman Medina DDS
Did we just get noticed by PatientRiver.com We are flattered, we wish you and Dr. Jasleen Kaur and her team all the best.
rishidentalcare
Good post. Thanks for Sharing more
Nice… very informative blog thanks for sharing knowledge with us… Thank You. I read it and I feel you write to me I like it very much.
zagacenters
I read your blog now share great information here.
Visit Here:- https://zagacenters.com/
Dr. Shruti Shahbhag
Came across great article on digital dentistry. Must say it is best blog so far while researching on digital dentistry. Adding +1 to Jasleel Kaur, would also recommend to share your article in some Indian forum as well for better reach of this article.
Also, as a practice, I am full time General, dental and cosmetic Dentistry in Mumbai. You can explore more on https://www.toothworksindia.com/
city dental care
very good post it is very knowledgeable , thanks for sharing such a nice post .