Invisalign Orthodontic Records and ClinCheck
Invisalign Orthodontic Records and ClinCheck
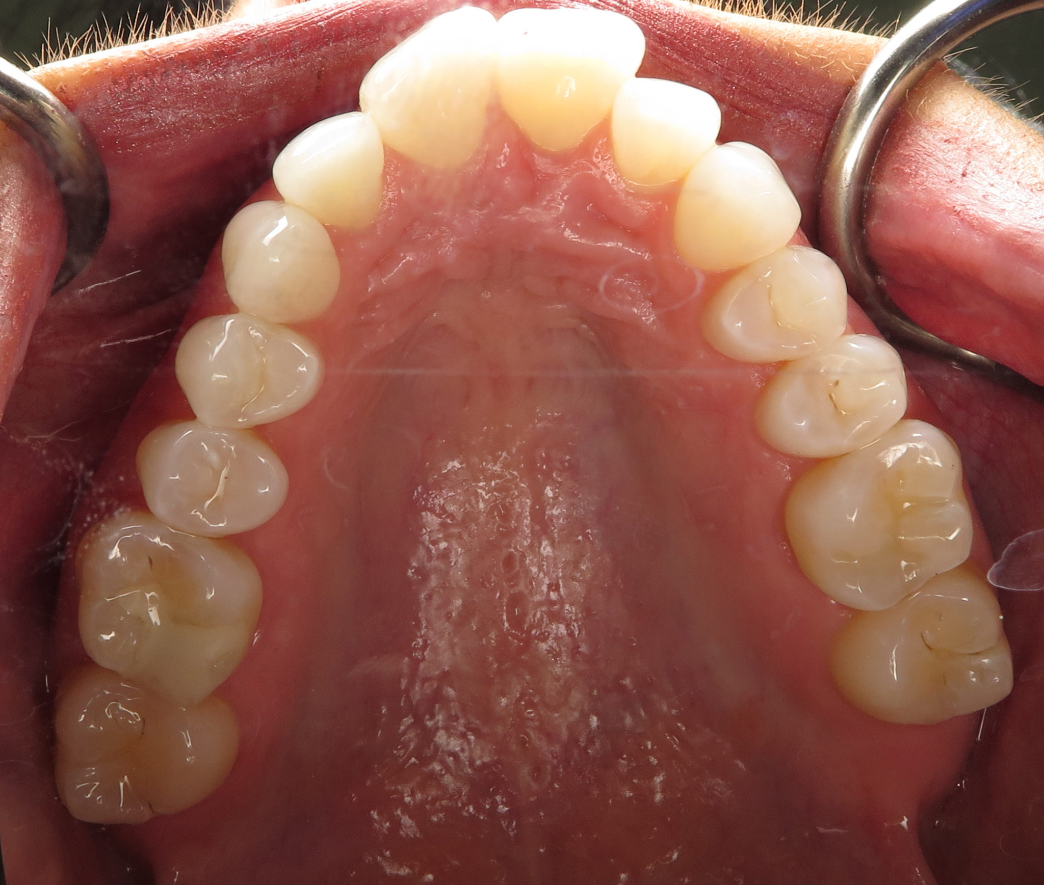
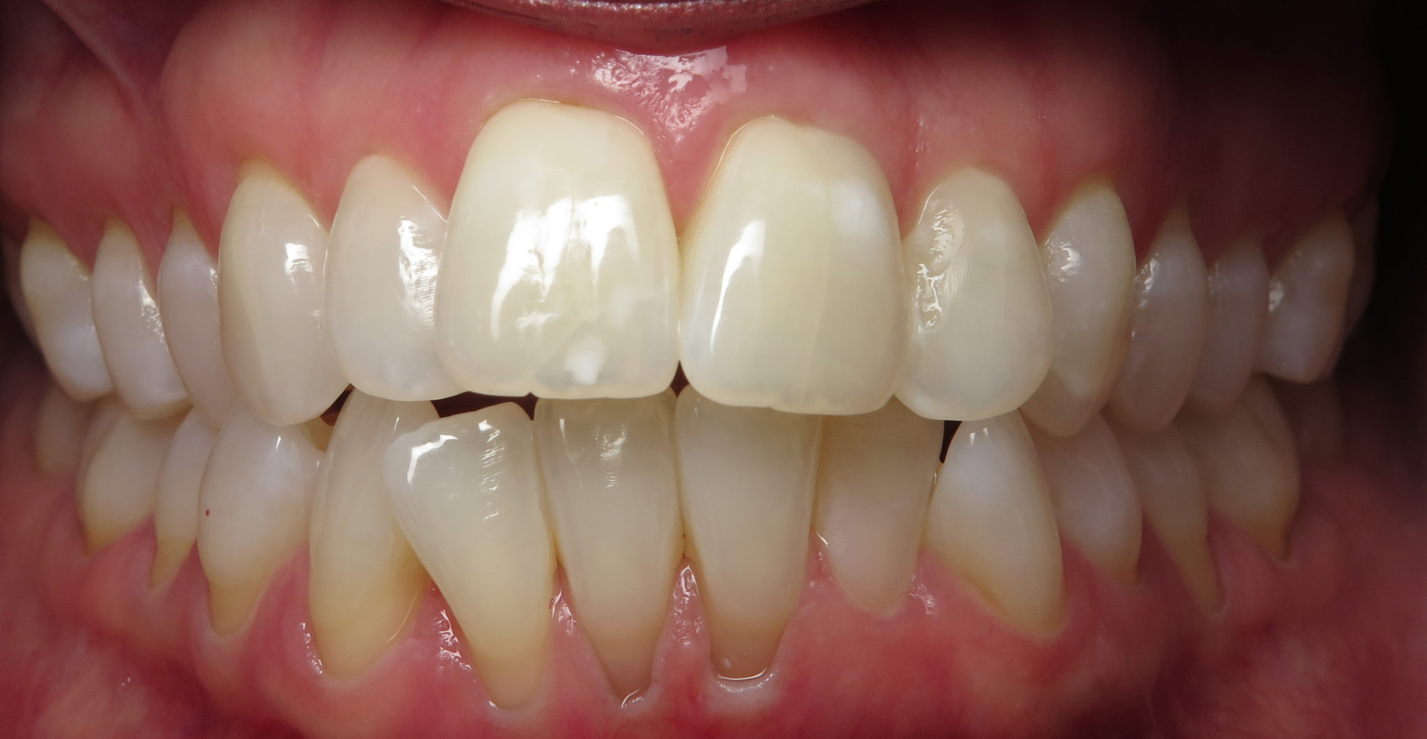
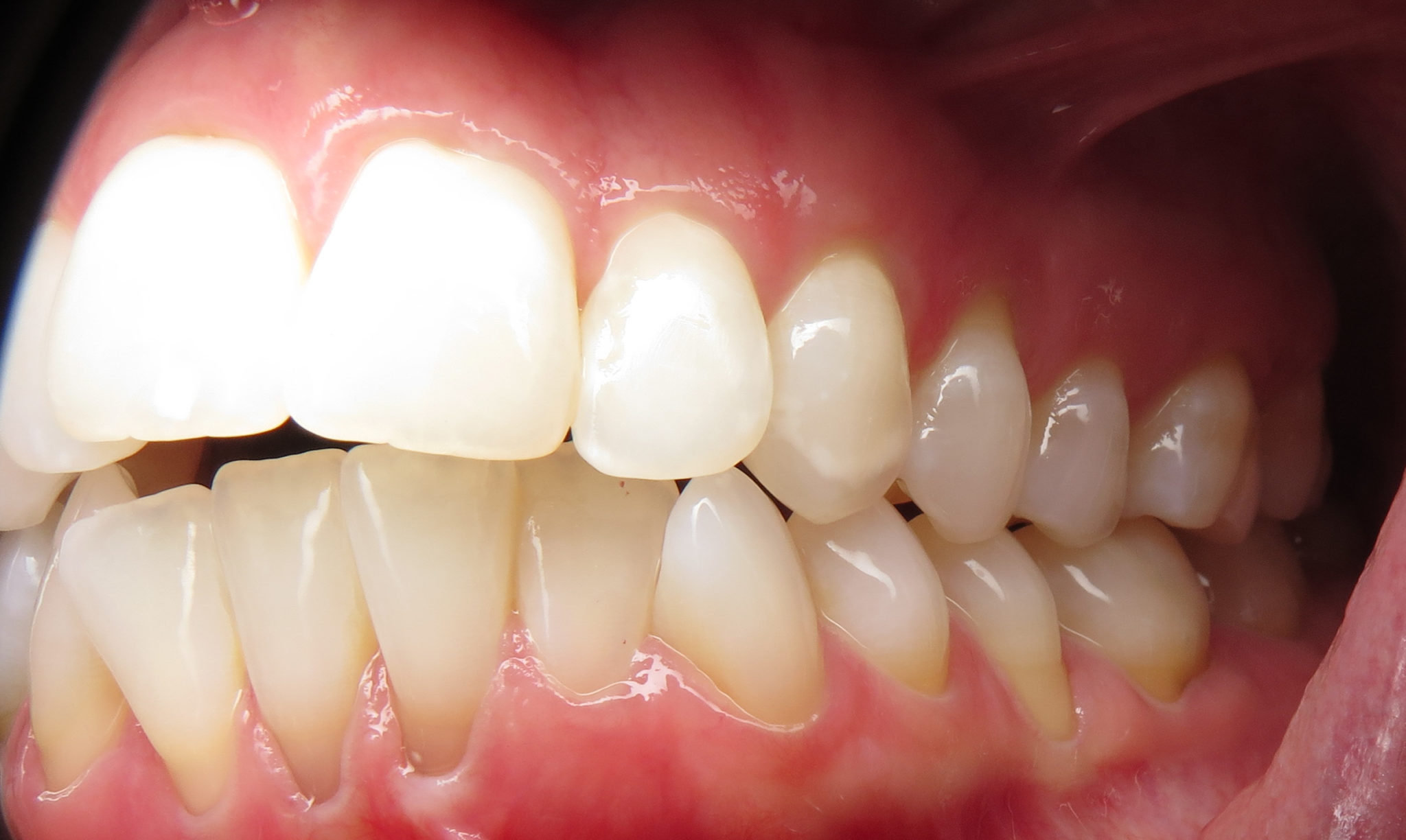
The first step to your Invisalign journey is to take records. We usually schedule an hour. In this visit, we will do a complete clinical exam with Digital x-rays. The exam and x rays are needed to ensure that we will be working with a healthy foundation which in turn provides a healthy end result. We will also take your first set of Invisalign Photos.
Getting ready for ClinCheck.
During this visit we will be taking impressions for your digital models. Your new Invisalign smile is created with the latest state of the art computers. Once Invisalign receives your digital models, the process begins of creating your clincheck video.
What ClinCheck does for you.
Check back in 9 Months.
Michelle is on the books, treatment plan has been mapped out. Invisalign has estimated that we can accomplish this treatment in 9 months. Please check back as we share the post-op photos.
Give us a call at (207) 236-4740.
Now that the records have been taken, Dr. Medina will be working with Invisalign to evaluate the information obtained and develop a course of treatment. Although some treatment options may have been discussed at the initial exam, a plan cannot be finalized until all the information has been reviewed. Next step : Consultation visit, where we go over YOUR clincheck video, and discuss your treatment plan. At this point, we can still make modifications for the end result.
Do you have more Invisalign questions? Invisalign fits many needs for beautiful, healthy teeth, and we’ve compiled a plethora of information for any questions you may have about this service. Check it out here : www.invisalign.biz.












1 Comment
How do Invisalign aligners work? - Seasons of Smiles
[…] you are interested in setting up an appointment to see if Invisalign will work for you or your loved one, give us a call at (207) […]